
치료 방법과 진료는 개인에 따라 다르게 적용될 수 있으며,
효과와 부작용이 다르게 나타날 수 있습니다.
진료 전 전문 의료진과의 충분한 상담을 권해드립니다.
저희 채널은 치과에 대한 두려움을 없애고,
편안한 치료 경험을 제공합니다.
임플란트는 시술하는 의사의 수술 경험, 노하우에 따라 진료 결과가 달라지는
시술입니다.
잇몸뼈에 식립하여 자연치아를 대체해 주는 보철치료인 만큼
잇몸과
잇몸뼈에 대해 전문성이 높은 치주과 전문의가 진료해야 합니다.
더굿모닝치과는
보건복지부 인증 치주과+통합치의학과 더블보드 전문의가 직접 진료하며,
진단부터 식립, 최종 보철물까지 꼼꼼하게 완성해 드릴 것을
약속드립니다.
더굿모닝치과 블로그에서 해당 사례를 자세히 확인하실 수 있습니다.
치료 방법과 진료는 개인에 따라 다르게 적용될 수 있으며,
더굿모닝치과는 실제 수술 전, 3차원 3D-CT를 이용하여
정밀진단과 가상수술을 통해 임플란트를 식립할 위치, 방향, 깊이 등
환자 개인의 수술 조건을 사전에 파악하여
한 치의 오차 없이 정확하고 빠르게 완성합니다.
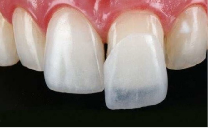
아무리 완벽한 치료와 좋은 재료여도 가장 좋은 것은 자연치아입니다.
개인의 구강상태를 고려하여 가장 적합한 보철물을 통해
치아의 기능적 회복 및 심미적인 부분까지 개선하는 치료입니다.
치아의 겉 표면을 최소삭제 후 얇고 자연스러운 인공치아를
치아 겉면에 덧붙여 이상적인 형태로 복원시키는 치아성형술입니다.
불만족스러운 치아의 배열, 색상, 크기 등을 수정하여
자신감있는 미소로 밝은 인상을 만듭니다.
충분한 상담을 통해
환자의 원하는 바를 파악하고
보철물 기본 틀을 구상합니다.
구체화된 보철물을 바탕으로
색상, 위치 등을 고려하여
환자에게 맞는 디자인을 구현합니다.
전체적인 구강상태, 잇몸과
치아와의 관계 등을 종합하여
기본 디자인을 구체화합니다.
더굿모닝치과 블로그에서 해당 사례를 자세히 확인하실 수 있습니다.
치료 방법과 진료는 개인에 따라 다르게 적용될 수 있으며,더굿모닝치과는 구강상태를 보다 정밀하게 진단하기 위하여 디지털 첨단 장비를 사용합니다.
넓은 사이즈로 두경부 촬영이 가능해 2차원적 X-ray 한계를
뛰어넘는
3차원적 정밀 진단 및 치료가 가능하며 파노라마보다 낮은
선량으로
안전하게 CT 촬영하고 진단을 받을 수 있습니다.
3shape 가장 최신 모델의 구강스캐너로 멸균이 가능하여 환자 사이의
교차 감염 위험이 적고,
빠른 스캔 속도와 입증된 정확도를
통해 환자들의 만족도가 뛰어난 장비입니다.
NO PAIN 무통마취기는 잇몸에 마취액을 주사할 때 디지털로 압력을
조절하는 방식으로,
낮은 압력을 일정하게 유지하면서 소량의 마취액이 주입되기 때문에
통증을 최소화합니다.
주소서울특별시 동대문구 왕산로 123(제기동), 더굿모닝치과의원
지하철1제기동역 2번 출구에서 85m
주소경기도 광명시 오리로 976, 5층
지하철 7광명사거리역 9번 출구에서 19m